胡迪主任,今天介绍
新型冠状病毒肺炎的肺部CT特征,
帮助大家了解这个传播力强
并且有很强致病力的病毒。
在开始之前,胡迪主任
向战斗在抗击疫情前线的
每一位医护人员
至于最崇高的敬意和诚挚的感谢,
因为有你们大无畏的牺牲精神,才有了
我们安宁的社区和和谐的工作、学习环境。
新型冠状病毒传播、致病的两个病例
从2019年12月开始,
武汉出现不明原因呼吸道传染病,
逐渐成为每天的头版头条,
人们的关注点不再是
公众人物的花边新闻了。
世界卫生组织将新型冠状病毒
取名为COVID-19。CO代表冠状,
VI代表病毒, D代表疾病,19代表2019年。
COVID-19和SARS是一个家族的病毒,
大家对2003年的SARS还记忆犹新,
严重急性呼吸综合症
导致全球 8422人患病,919死亡。
(数据来自互联网报道)
下面例举2个新冠病毒导致的肺炎病例,
病例资料来自《Radiology》杂志。
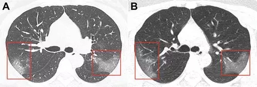
病例1,33岁女性,在武汉工作,
今年1月份回到兰州后
第二天开始发热,咳嗽,
5天后,她去医院检查,
她咽喉部分泌物中发现新冠病毒核酸,
肺部CT扫描(见下图A)
两侧肺上叶肺段呈斑片状毛玻璃样显影。
医生给她用了很多药物,
甚至用上了干扰素,
3天后,再次CT检查发现,
两肺的毛玻璃显影更大了(图片B),
显示治疗效果不好,病情加重。
图片来自《Radiology》杂志
来自Internet图片搜索
病例2,41岁女性,去了一趟武汉,
回来后,开始发热咳嗽,
4天后,她感觉呼吸困难,
去医院X线胸部拍片,检验血液,
都没有发现有啥异常。
但是CT扫描发现
两侧肺周边出现多处斑片状毛玻璃样显影。
图片来自《Radiology》杂志
来自Internet图片搜索
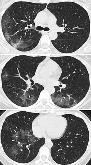
采用CT三维成像技术,
暴露在人们裸眼眼前,
到处是斑片状磨玻璃影(见下图)。
图片来自Radiology
来自Internet图片搜索
临床病例的特征:
都能追溯到与武汉疫情接触史
潜伏期比较短,1-14天,有的发病急;
起病时发热,干咳,气急,气短,呼吸困难,乏力,头晕;
起病早期一般低白细胞血症,C反应蛋白升高;
CT见外周肺实质性炎症,以毛细支气管和肺泡及其间质炎症为主;
重症患者,低氧血症,代谢性酸中毒,呼吸衰竭,凝血障碍;
出现急性呼吸窘迫综合征(ARDS)的新冠肺炎患者,病死率接近50%,如果ARDS达到中重度,病死率更是高达70% (信息来自武汉中心医院重症医学科主任喻莉在Medrxiv报道),大部分死于多器官衰减。
声明:本文系健瑞宝医疗整理创作,如需转载请取得许可,转载时注明出处。本文属医疗技术讲座性质,不应被视为任何医疗建议或治疗方案,如您需要,请咨询执业医师。刊载上述内容,“胡迪医学”尊重信息出处的原意,对文中陈述、观点和判断保持中立,不对所包含内容的准确性、可靠性或完整性提供任何明示或暗示的保证。如果您认为文章内容或者来源标注与事实不符,请告诉我们,我们将与您积极协商解决。谢谢大家的关注"胡迪医学"。